Dismiss Modal

After a harrowing experience this past summer, Rick Racine is grateful for each day he wakes up alive and well — thanks to the swift care he received at WakeMed Cary Hospital.

Seeing Stars

Beginning August 19, 2022, Rick woke up three days in a row with a strange visual sensation.

“I was seeing stars every morning, and then they would disappear by noon. It was like these white dots in my vision. Since I’m 65, I figured I was getting old and that my eyes were failing — to go along with all my other aches and pains — so I just brushed it off and went on about my day.”

On August 22, 2022, more symptoms appeared, this time, while Rick was starting his day as a food truck vendor. Rick drove to his supervisor, Justin’s home, to pick up the truck and trailer. While chatting, the conversation turned toward supplies needed for the day. Justin told Rick he’d pick up bread but needed to know how much was already in their commissary storage. Rick listened, but Justin could see in Rick’s expression that something was not quite right.

Rick says, “My supervisor felt as though I was almost staring through him and not acting like myself. While I definitely felt off and wasn’t really tracking our entire conversation, I knew he planned to get bread, so I was able to keep in mind that I needed to let him know how much bread we already had in our trailer once I arrived.”

Getting Lost

Rick ended the conversation and headed out with the truck and trailer. While on the highway, he became disoriented and felt he missed his turn. Rick realized he couldn’t figure out how to get to the commissary storage though he’d been there numerous times before. He could remember ‘Banks Road,’ and pulled up driving directions to this particular road which helped him eventually navigate to the familiar building.

Upon arrival, Rick pulled down the commissary storage ramp and went in to get his supplies. As he was walking down the ramp to the truck, he felt lightheaded.

“I texted Justin that we had four racks of bread. Other than that, I don’t remember a lot, but in my mind, I felt I needed to get everything in the trailer and then call Justin to let him know I wasn’t feeling well. My left side in my leg and arm were numb.”

Going Numb and Falling Down

What he doesn’t remember was his painful descent down the ramp since he later learned that his left side was badly bruised — pointing to the likelihood that he’d suffered several violent falls on the way down. Because his left side was numb, he didn’t feel the painful falls.

“Once at the bottom of the ramp, I had this sense that maybe I’d hit my left leg on the side of the ramp. What I did realize for sure was that I was lying down — not standing — at the bottom of the ramp. We had three coolers: one with ice, one with condiments and one with food. I remember looking to my left and seeing the condiment cooler open with all the contents spilled out, and I was kinda swimming in it. I reached for the cooler with the ice in it because I knew it was heavy and could lift me up. I kept reaching toward it, but I couldn’t grab it. I kept thinking, ‘I gotta call Justin.’

“Somehow I got myself back up to the top of the trailer, and I was leaning on the grill where we cook the food. My phone rang in my back right pocket. I answered.”

Realizing It’s All Been Signs of a Stroke

Justin was calling to check on Rick because he felt their interaction earlier that morning was odd even though Rick clearly had been listening during the conversation in that he remembered to text the bread count. Rick tried to respond to his boss’ concern, but his speech was slurred.

He eventually let out, “Come get me. I think I’m having a stroke.”

Justin immediately reassured Rick that he was on the way. He then hung up and dialed 911 as he headed to the work site.

Within minutes, a fire truck pulled up followed by the ambulance. The emergency medical services (EMS) care team loaded Rick onto the stretcher and informed him they’d be taking him to WakeMed Cary Hospital since it was the best hospital in that area for stroke victims.

Rick says, “It wasn’t all doom and gloom. I laugh remembering how I went on and on about being okay with them cutting me out of my $4 shirt and worrying about giving my boss back the truck key, so the food truck could operate for the day.”

Heading to WakeMed Cary Hospital’s Joint Commission-Certified Primary Stroke Center

Upon arrival to the WakeMed Cary Hospital Emergency Department, the stroke team stepped into action. They immediately took Rick to Imaging for a computed tomography (CT) scan. He was officially diagnosed with a stroke by the telestroke team. The team determined that the best course of action for Rick was thrombolytics & t-PA intervention.

Larissa Hill, Executive Director of Neurosciences, “The telestroke team was involved in his acute care. He was deemed an appropriate candidate for alteplase, a clot busting medicine which was given. His workup also revealed a completely blocked artery on the right side of his brain. He was taken for emergent clot retrieval.”

Exploring the Treatment

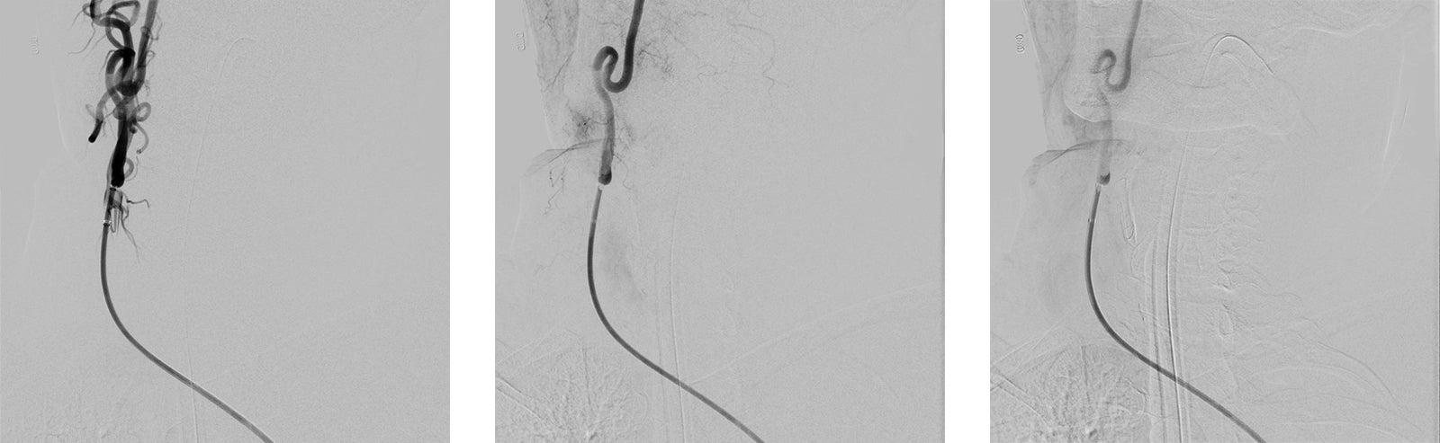
Intra-arterial mechanical thrombectomy is a minimally invasive procedure that, when performed in conjunction with Alteplase administration, can remove clots and stop a stroke in its tracks.

During a mechanical thrombectomy, a neurosurgeon uses an innovative, catheter-based technology to capture the clot and pull it out of the artery, which immediately restores blood flow to the brain. This procedure is enhanced by biplane technology, an advanced imaging system that helps the physician guide instruments through the patient’s artery to the clot.

The procedure is used in conjunction with Alteplase administration to maximize patient outcomes. This can mean minimizing or completely eliminating the long-term side effects of stroke, such as speech, dexterity and mobility issues.

Rick says of the procedure, “I don’t remember much about the t-PA and thrombectomy intervention other than a female care team member standing by me, and then someone putting a mask on my face while a man looked down telling me to breathe deeply.”

Images of clot removal with Intra-arterial mechanical thrombectomy

Stopping Stroke in Its Tracks

Rick’s procedure reversed his stroke symptoms. His speech returned to normal and the numbness on his left side was gone.

Hill says, “During this procedure, he was noted to have severe stenosis in his right internal carotid artery with thrombus. The neurointerventional team had fully successful clot retrieval and placed a right carotid artery stent to open and stabilize this artery. This diseased artery was likely the cause of his stroke.”

He was sent to the intensive care unit (ICU) for recovery and while there, he received diagnostic X-rays to his chest, hips and legs to determine if he’d suffered any broken bones due to his many falls on the truck ramp. The scans revealed no fractures.

Hill says, “The patient had made a very strong recovery. He was cared for first in the ICU with stroke admission orders.”

Rick was scheduled to be released on August 24, 2022, just two days after arriving to the hospital, but the care team thought it best to keep him an additional day to administer an IV with iron supplementation since he was experiencing anemia.

Hill says, “Multidisciplinary care included coordination between providers, nurses, therapists, and stroke educators to ensure future stroke prevention in this patient. Mr. Racine was able to be successfully discharged home three days after his major stroke.”

“I feel so thankful,” says Rick. “Some therapists from rehab came to visit me after my procedure, but they determined I didn’t need rehab other than possibly for the leg injury I suffered as a result of falling down the ramp.”

Going Home

Once Rick was released from the hospital, he continued with follow-up care for his blood pressure and fluid retention in his leg that resulted from his severe falls.

Rick says, “I was told that my blood pressure can be all over the place after a stroke, so my primary care physician slowly readjusted my blood pressure medications. I left the hospital with fluid retention in my left leg, but it is not so bad now. Walking or sitting for a long period without elevation still bothers me.”

Healing Journey Continues

Rick’s care team expects that in time both of these challenges will improve. Rick is now back to work full-time. He’s also enjoying attending baseball and hockey games. Soon, he hopes to get back to his active lifestyle of hiking and enjoying other outdoor activities.

“It’s taking time, but I thank God that this is all I’ve got left of my stroke. I’m so grateful EMS took me to WakeMed. I can’t say thanks enough to all the people who cared for me and provided me an exceptional care experience.”


About the WakeMed Stroke Program

Our Stroke Program is distinct in providing a comprehensive approach, moving from prevention to management. Our dedicated team of specialists, renowned for their expertise, use physical medicine and rehabilitative techniques at strategic steps along the route to recovery to support the best outcomes. Here are just a few of our impressive features:

  • Collaboration with EMS providers to facilitate rapid assessment and transport to the hospital
  • Team approach that helps minimize time from arrival to administration of thrombolytics
  • Availability of neuroradiologists for quick, expert interpretation of imaging
  • Neurology and neurosurgery coverage 24 hours a day, seven days a week for evaluation and treatment
  • Neuro intensive care unit for optimization of care for patients with severe strokes
  • Nursing staff skilled in assessment and care of stroke patients
  • Designated nursing unit for the care of patients with neurological and neurosurgical diagnoses
  • Interdisciplinary care planning involving physicians, nurses, case managers, therapists and other services, such as nutritionist consultation and pastoral care
  • Comprehensive post-discharge rehabilitation services, including specialty services, such as vestibular rehab to treat dizziness and vertigo
  • Public education and awareness programs that focus on risk factor reduction for stroke prevention
  • A variety of stroke support groups at several locations throughout North Carolina.

Do you want to help bring more innovative care to WakeMed? Donate to the WakeMed Foundation.

Blog URL
https://wakemedvoices.com/2023/05/stopping-stroke-in-its-tracks-rick-racines-story/

WakeMed Health & Hospitals