Dismiss Modal

It’s not unusual to experience pain in your joints on occasion, especially if you’re active and participate in high-impact activities. That unwanted pain can be caused by injured muscles, tendons or ligaments around the joint. But if that pain or aching joint gradually becomes worse over time – or is localized to one area – you may be developing arthritis.

What is shoulder arthritis?

In recent years, shoulder arthritis has become increasing common with a more active 50+ aging population. Brought on from the loss of cartilage in the shoulder ball and socket joint, causes of shoulder arthritis can vary, ranging from mechanical wear and tear (osteoarthritis), systemic inflammation (rheumatoid arthritis), loss of shoulder blood supply (avascular necrosis), prior shoulder fractures (post-traumatic arthritis), and chronic tear of the rotator cuff (cuff tear arthropathy). All of these causes lead to the loss of cartilage from the shoulder ball and socket joint, eventually leading to bone-on-bone arthritis as well as bone loss and erosion of the shoulder joint.

What does shoulder arthritis feel like?

Shoulder arthritis symptoms tend to progress as the condition worsens, with pain being the most noticeable symptom. This can range from sharp shooting pain that is worse with activity to deep constant aching pain that keeps you awake at night. You may also complain of worsening pain with changes in weather or humidity. When shoulder arthritis is allowed to progress, it can also lead to progressive stiffness and grinding in the shoulder placing limitations on day-to-day activities such as washing your hair, putting on a jacket or reaching overhead.

How is shoulder arthritis diagnosed?

Initial diagnosis of shoulder arthritis is made based on your symptoms and physical examination of your shoulder. Range of motion should be checked in the painful shoulder and compared to the contralateral shoulder. Special tests including impingement testing and rotator cuff strength testing should also be performed to rule out other causes of shoulder pain such as rotator cuff tear and bursitis.

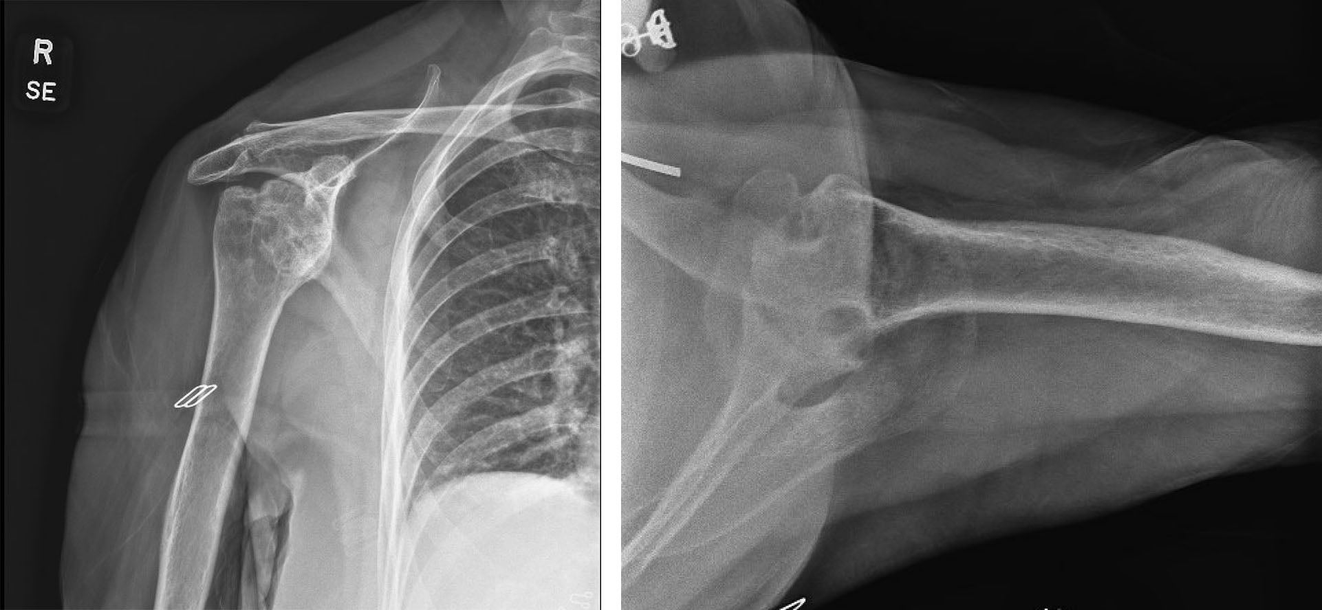
X-rays are also used for the diagnosis of shoulder arthritis. Shoulder x-rays can show bony erosions, narrowing of the shoulder joint space and the development of bone spurs around the shoulder joint. CT scan can also be used to better visualize the amount of bone loss or erosions in the shoulder in cases where shoulder arthritis is severe and chronic.

X-ray showing shoulder arthritis and bone destruction on the socket

How is shoulder arthritis treated?

Conservative treatments

Shoulder arthritis treatments usually begin with nonoperative, conservative lifestyle changes to help keep your shoulder mobile and reduce pain. Non-surgical treatment includes activity modification, anti-inflammatory pain medications, gentle physical therapy and cortisone injections. These treatments often provide temporary relief and can be administered periodically to allow you to return to normal activities.

Total shoulder replacement surgery

For those with persistent pain despite non-surgical management, shoulder replacement has been shown to have excellent outcomes allowing you to return to sports and daily activities. In a traditional shoulder replacement, the worn ball of the shoulder is removed and replaced by a metal ball, while the worn shoulder socket is replaced by a strong plastic shoulder socket which is fixed in place with bone cement. This has proven to be an effective solution if you have osteoarthritis and a functioning rotator cuff, with 10-year survival rate of over 90%.

Reverse total shoulder replacement

For patients with arthritis due to a torn rotator cuff or inflammatory arthritis, a reverse shoulder replacement may be recommended. This involves “reversing” the positions of the metal ball and plastic socket. A metal ball is attached to where the socket would normally be, while a plastic socket is attached to where the ball would normally be. This changes the center of rotation of the shoulder and allows other muscles in the shoulder to compensate for an absent or non-functioning rotator cuff. While shoulder range of motion is slightly less using a reverse shoulder replacement compared to a traditional shoulder replacement, the reverse shoulder replacement is more versatile and can be used in cases where there is significant bony erosion or deformity in the shoulder joint.

Conventional vs. Reverse Total Shoulder Replacement

Advancements in shoulder replacement surgery

Computer-assisted shoulder replacement

While traditional and reverse shoulder replacement surgery are effective options for the treatment of shoulder arthritis, the use of advanced technology via 3D visualization is providing orthopaedic surgeons a new option for optimal patient outcomes. By combining CT scans with three-dimensional (3D) images and models, surgeons can determine the implant type, position and location before surgery. A 3D model is used during surgery as a guide to help optimize implant positioning and minimize bone loss, which can increase longevity of the implant and aid in patient recovery time.

Since artificial ball and socket joints now come in different shapes, this technology is especially useful for patients with severe arthritis and bone deformity as advances in 3D visualization and printing opens the possibility for customized shoulder implants tailormade for individuals with unusual shoulder structure.

3D mapping of shoulder replacement surgery based on patient’s unique anatomy

As 3D modeling continues to advance, technologies such as augmented reality (AR) and computer-assisted surgery will continue to grow. In years to come, the use of AR headsets will allow surgeons to visualize and manipulate the patient’s 3D surgical plan in real time, providing an increased level of accuracy and surgical precision. Though this technology is in its infancy, 3D modeling and AR can result in highly accurate restoration of the patient’s anatomy and precise positioning of the implant.

Although there is no cure for shoulder arthritis, there are many ways to ease your pain. Our team of board-certified, fellowship-trained orthopaedic surgeons at Wake Orthopaedics are dedicated to using both conservative and surgical treatments to help you return to both sports and normal day to day activities.


About Ryan Li, MD

Dr. Ryan Li received his bachelor’s degree from Case Western Reserve University and his medical degree from the University of Pittsburgh. He completed his orthopaedic residency at University Hospitals Cleveland Medical Center. He then returned to Pittsburgh to complete a fellowship in sports medicine and shoulder surgery at the University of Pittsburgh Medical Center.

Dr. Li continues to be active in research and has authored several peer-reviewed studies. He regularly presents his work at both national and international meetings and stays active in multiple sports medicine and orthopaedic societies. He has special clinical and research interests in improving the management of complex shoulder instability and hip impingement, including the use of hip arthroscopy. Other clinical interests include management of ACL and multi ligamentous knee injuries, shoulder arthritis and rotator cuff injuries. In the past, he has provided team coverage at the high school, collegiate, and professional levels. He has served as an associate team physician for University of Pittsburgh and Robert Morris University sports and has helped care for athletes from the Cleveland Browns, Pittsburgh Steelers and Pittsburgh Penguins.

Blog URL
https://wakemedvoices.com/2023/04/future-frontiers-in-shoulder-replacement-surgery-and-management-of-shoulder-arthritis/

Ryan Li, MD